歯のお悩み相談詳細

ご相談

2025/09/20

抜歯後、1週間以上痛みが続くことはありますか?

ゆーゆ様26歳女性
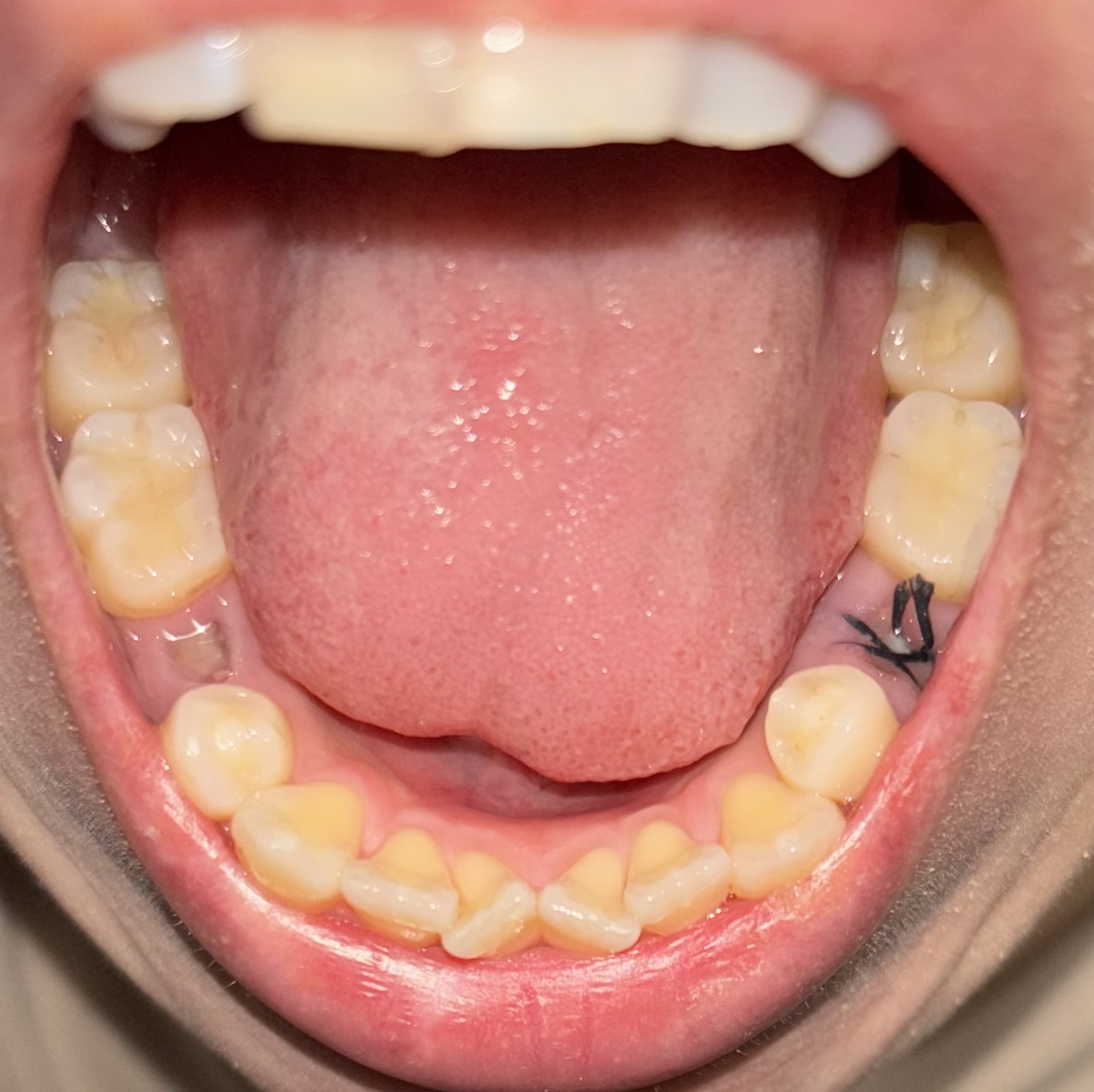
左に見える方は1週間以上前に抜歯してもらい、右側は3日前に抜歯して貰いました。
左に見える方がまだ疼く感じがして、頭を下げた時とかにほんのり程度ですが痛みがあります。
右も少し痛みはありますが、3日前なのでまだ分かるのですが、1週間以上も痛くなることはあるのでしょうか?
あと、最近前歯の歯茎がすごくムズムズして調べたら、ドライソケットの初期症状と出てきたので、すごく心配です。
見た感じだと、これは骨が出ている状態なのでしょうか?
骨が出ていたらもっと激痛になるのでしょうか?
稚拙な文で申し訳ないのですが伝わると幸いです。

河原 雅朗 先生からの回答

河原 雅朗
奈良県
かわはら歯科クリニック
河原 雅朗先生
ドライソケットになってしまったら、痛み止めを服用していないと我慢できないくらいの痛みがずっと続きます。
今の状態であればそこまでではないようなので大丈夫だと思います。
写真でも特に問題ないと思います。

骨にまで達する傷ですから、痛み止めを飲まない状態であれば1週間程度痛みが出ても何の不思議もありません。
(指先をケガしたことを思い出してください。1週間程度は痛みがあっても不思議ではないですよね。)

渡辺 英弥 先生からの回答

渡辺 英弥
福島県
渡辺歯科医院
渡辺 英弥先生
痛み、腫れなどなければ問題はないかと思います。

歯科医院を探す

全国約68,000件の登録歯科医院より、お住まいの地域や治療内容にあった歯科医院を検索できます。

抜歯に関するお悩み相談

お口の悩みを歯科医師に相談する

ログイン 歯の悩みを相談 歯科医院を検索