歯のお悩み相談詳細
ご相談
河原 雅朗 先生からの回答
渡辺 英弥 先生からの回答
虫歯に関するお悩み相談
-
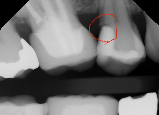
親知らずに押された7番が虫歯になってしまいました。
回答数:2 -
虫歯が10本あり歯医者を受診しますが、怒られてしまいそうで不安です。
回答数:2 -
奥歯の横の部分が神経の近くまで虫歯になり、自費治療を提案されました。
回答数:2 -
歯周病と重度の虫歯の進行が不安で、できるだけ早く治療したいです。
回答数:2 -
欠けてしまった前歯を最短で治療したいです。
回答数:2 -
虫歯で奥歯が欠損しています。親知らずを使って矯正で治せますか?
回答数:2 -
治療が怖くなり歯医者に行けません。どうしたらいいですか?
回答数:2 -
歯と歯の間に広がった虫歯を削りました。補綴素材は何が適切ですか?
回答数:2 -
詰め物の間が虫歯になっていると言われ、クラウンでの再治療を勧められました。
回答数:2 -
多数の虫歯を治したいですが、今通っている歯医者が信用できません。
回答数:1

