歯のお悩み相談詳細

ご相談

2025/10/18

親知らずの歯牙移植を考えていましたが、歯列矯正をするか悩んでいます。

お茶漬け様32歳女性
30代前半の女性です。
10代前半のころに歯列矯正の経験があり、失敗に終わっています。
当時の失敗については2年近く治療した末、「歯を抜くしかない」と急に言われ、それまでの対応や親の反対もあり矯正をやめることになりました。
それから数年して前歯の片方の神経が死に、矯正の影響だと言われました。
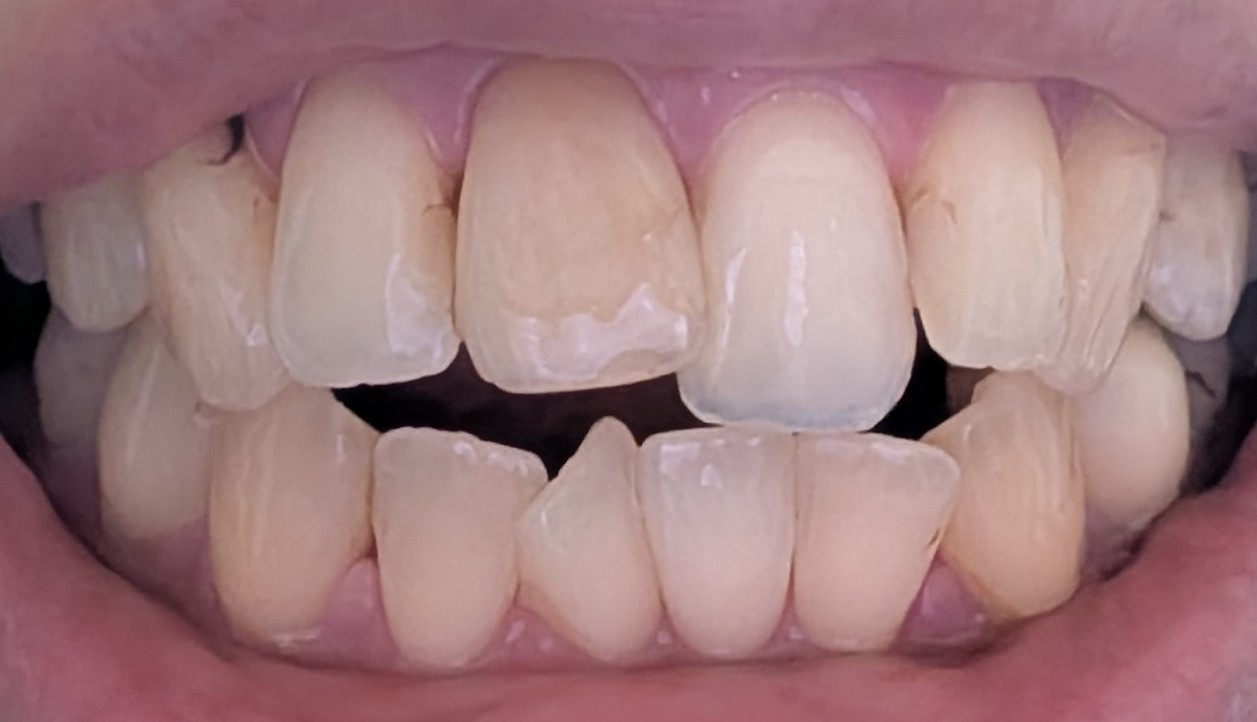
失活歯になり黒ずんでいます。
さらに数年後に奥歯の神経も死に、歯根治療をして金属の被せ物をしましたが、現在通っている歯医者にて被せ物が取れると相談したところ、残っている部分が完全に虫歯になっていて抜歯するしかないと言われました。

検査の結果、奥の親知らずが移植可能とのことで、ブリッジは抵抗があるので歯牙移植をするつもりでした。
別の医院にしようと歯牙移植に強いところを探していましたが、歯並びを治したいという気持ちが強くなり、歯列矯正しようかと悩んでいます。
次回の通院時に通っている歯医者にも矯正希望の件は相談するつもりですが、歯並び的におそらくいくつか抜歯をすることになると思っています。
この場合、奥歯を抜歯して歯牙移植の後に矯正をするべきでしょうか?それとも抜歯して矯正で歯を移動することで歯牙移植の必要がなくなるでしょうか?
また、虫歯の治療はまだ終わっていませんが、矯正歯科で今の状態の歯で相談やカウンセリングを受けることは可能でしょうか?

健康な歯を歯並びのために抜歯することは現在抵抗はありません。
失活歯の前歯が動かなくなったためか、子供の頃の矯正前より前歯同士がずれて歯並びが更に悪くなっている状態です。
また、虫歯がとても多く、治療痕も多いです。
最近は知覚過敏もありシュミテクトを使用しています。(今はケアをがんばっているつもりです…)
いずれ歯並びを治してホワイトニングまでしたいと思っています。
期間は覚悟していますが、料金についてもどのくらいになるのかもしわかればお伺いしたいです。
よろしくお願いいたします。
(画像1枚目が前歯の歯並びについて、画像2枚目の奥から3番目の歯が抜歯予定の歯です。)

渡辺 英弥 先生からの回答

渡辺 英弥
福島県
渡辺歯科医院
渡辺 英弥先生
歯列矯正ですが、まずはきちんと診断をすることが必要で、移植等に特化しないで、まずは現状でどのように歯を並べるかかと思います。
そのあとで移植等の話が出てきた方が治療方針としては分かりやすいかと思います。
金額は各医院で違いますので、その時点で聞くのがいいかと思います。

歯科医院を探す

全国約68,000件の登録歯科医院より、お住まいの地域や治療内容にあった歯科医院を検索できます。

矯正に関するお悩み相談

お口の悩みを歯科医師に相談する

ログイン 歯の悩みを相談 歯科医院を検索