歯のお悩み相談詳細
ご相談
河原 雅朗 先生からの回答
渡辺 英弥 先生からの回答
抜歯に関するお悩み相談
-
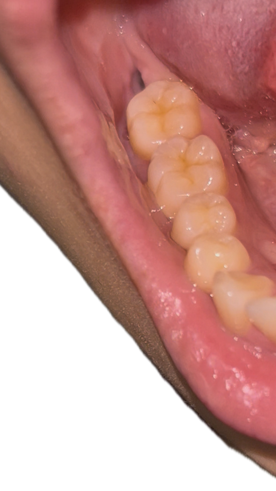
血餅か食べカスが取れてしまい、穴ができてしまいました。
回答数:2 -
抜歯後、しみるような痛みがあり歯茎が腫れています。
回答数:2 -
CTを撮っても歯科医院によって意見が分かれるものですか?
回答数:2 -
抜歯後、抜いたところから肉片のようなものが出てきて膨らんでいます。
回答数:2 -
ドライソケットが悪化したらどうなりますか?
回答数:2 -
抜歯から3ヶ月後、抜いた部分の歯茎にニキビのようなものができました。
回答数:2 -
矯正のために抜歯をしましたが、痛みがひどく歯茎が腫れます。
回答数:2 -
虫歯の抜歯後、腫れが治まらず、歯茎に白いものが広がっています。
回答数:2 -
抜歯後に歯医者を変えてもいいですか?
回答数:2 -
1年以上前に奥歯を抜歯してから痛みが取れません。
回答数:2

