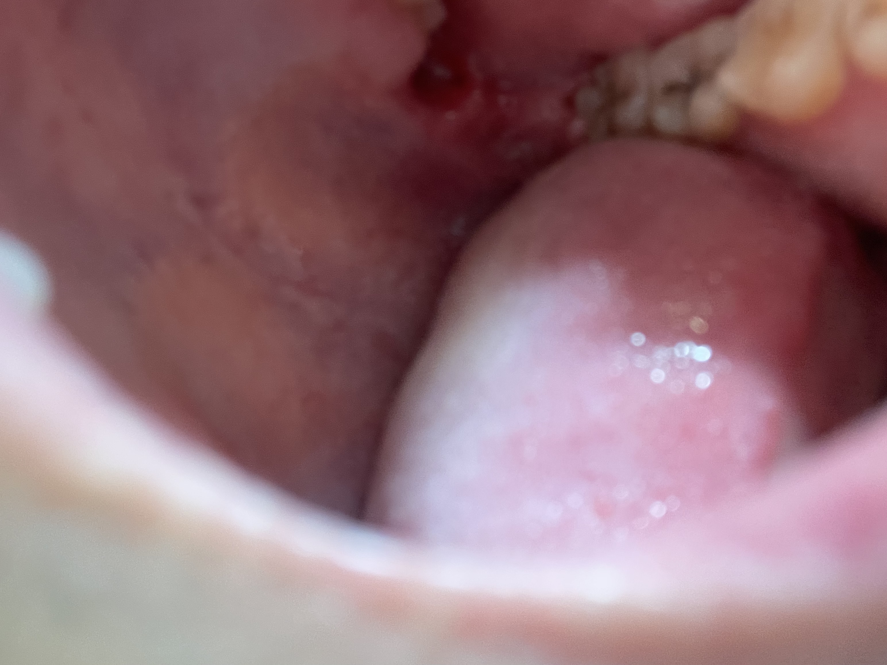
歯のお悩み相談詳細
ご相談
渡辺 英弥 先生からの回答
河原 雅朗 先生からの回答
その他に関するお悩み相談
-
マウスピースについた咬合紙の色を落とす方法はありますか?
回答数:2 -
打撲した歯に浮いた感じやウズウズした違和感があります。
回答数:2 -
虫歯を1本治療しただけでも歯周病検査は200点になりますか?
回答数:2 -
外傷を受けた歯が白っぽく見えます。神経が死んでしまったのでしょうか?
回答数:2 -
一本だけ違和感がある歯があります。歯科を受診した方がいいですか?
回答数:2 -
治療器具が滅菌パックから出した状態で並べてありました。
回答数:2 -
かかりつけ以外の歯科を受診しても、レセプトに影響はありませんか?
回答数:2 -
頬の粘膜に口内炎が潰れたような見た目のできものがあります。
回答数:2 -
更年期障害で歯周ポケットが深くなることはありますか?
回答数:2 -
歯茎に線が入っています。
回答数:2
