歯のお悩み相談詳細
ご相談
河原 雅朗 先生からの回答
渡辺 英弥 先生からの回答
親知らずに関するお悩み相談
-
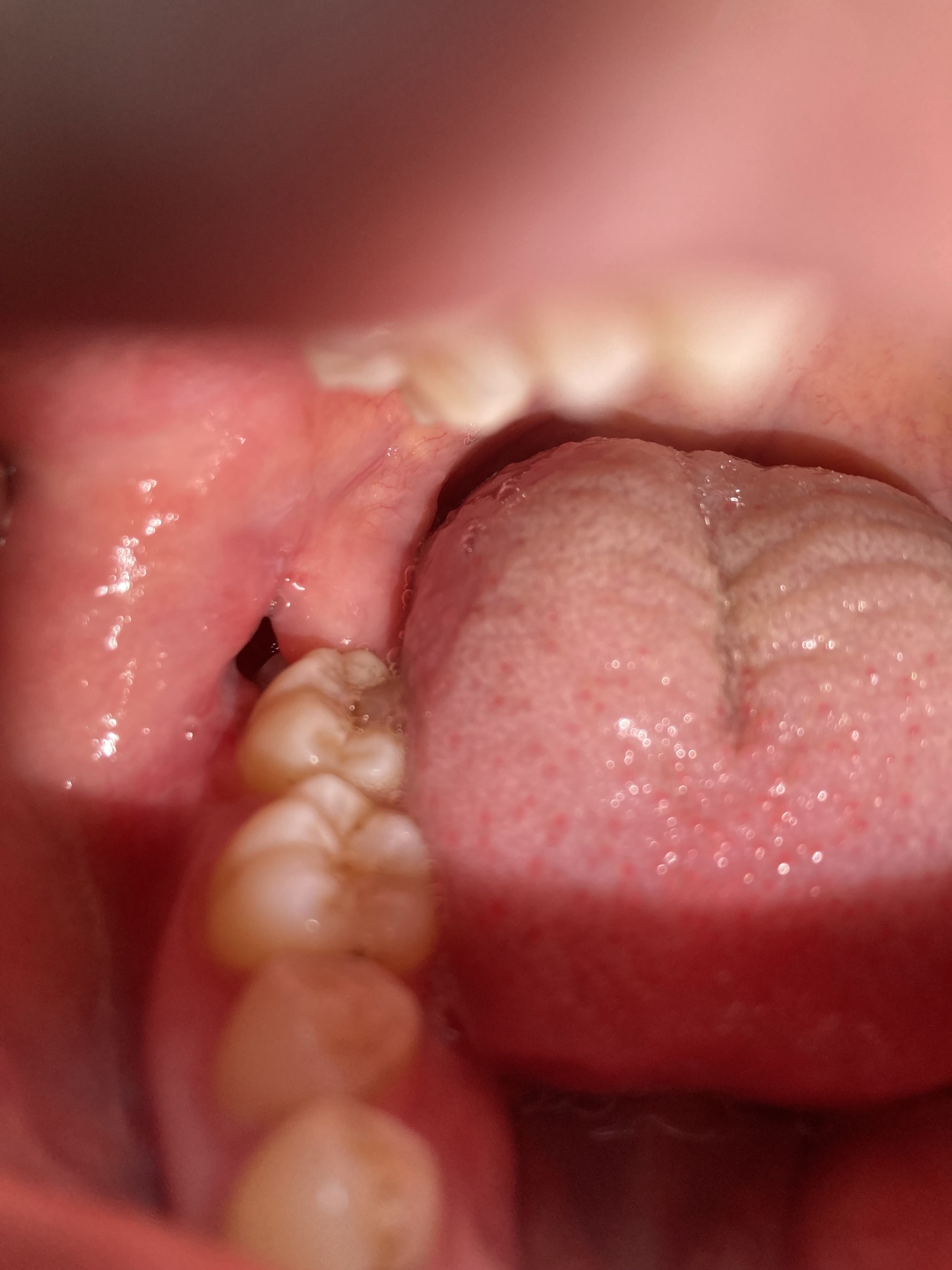
親知らず抜歯後、穴に溜まる食べカスを取ったら血が出てきました。
回答数:2 -
親知らず抜歯後、顔面が動かしづらくなりました。腫れが引けば治りますか?
回答数:2 -
親知らず抜歯後、糸が飛び出しています。抜糸日まで放置していても良いですか?
回答数:2 -
親知らず抜歯後、唾液が黄色くなり腫れている気がします。
回答数:2 -
親知らず抜歯後、頬側に穴が開いて臭いが気になります。
回答数:2 -
親知らず抜歯後、隣の歯が半分折れてしまいました。
回答数:1 -
親知らず抜歯後の穴はどのくらいで塞がりますか?
回答数:2 -
親知らず抜歯後の出血が数日経っても止まりません。
回答数:2 -
下の親知らず抜歯後、上の歯が歯茎に当たり膿んでしまいました。
回答数:2 -
親知らず抜歯後、歯冠部分が残っていると言われました。
回答数:2
