歯のお悩み相談詳細
ご相談
河原 雅朗 先生からの回答
渡辺 英弥 先生からの回答
親知らずに関するお悩み相談
-
親知らず抜歯後、4日経っても痛みが酷く、ドライソケットではないかと不安です。
回答数:2 -
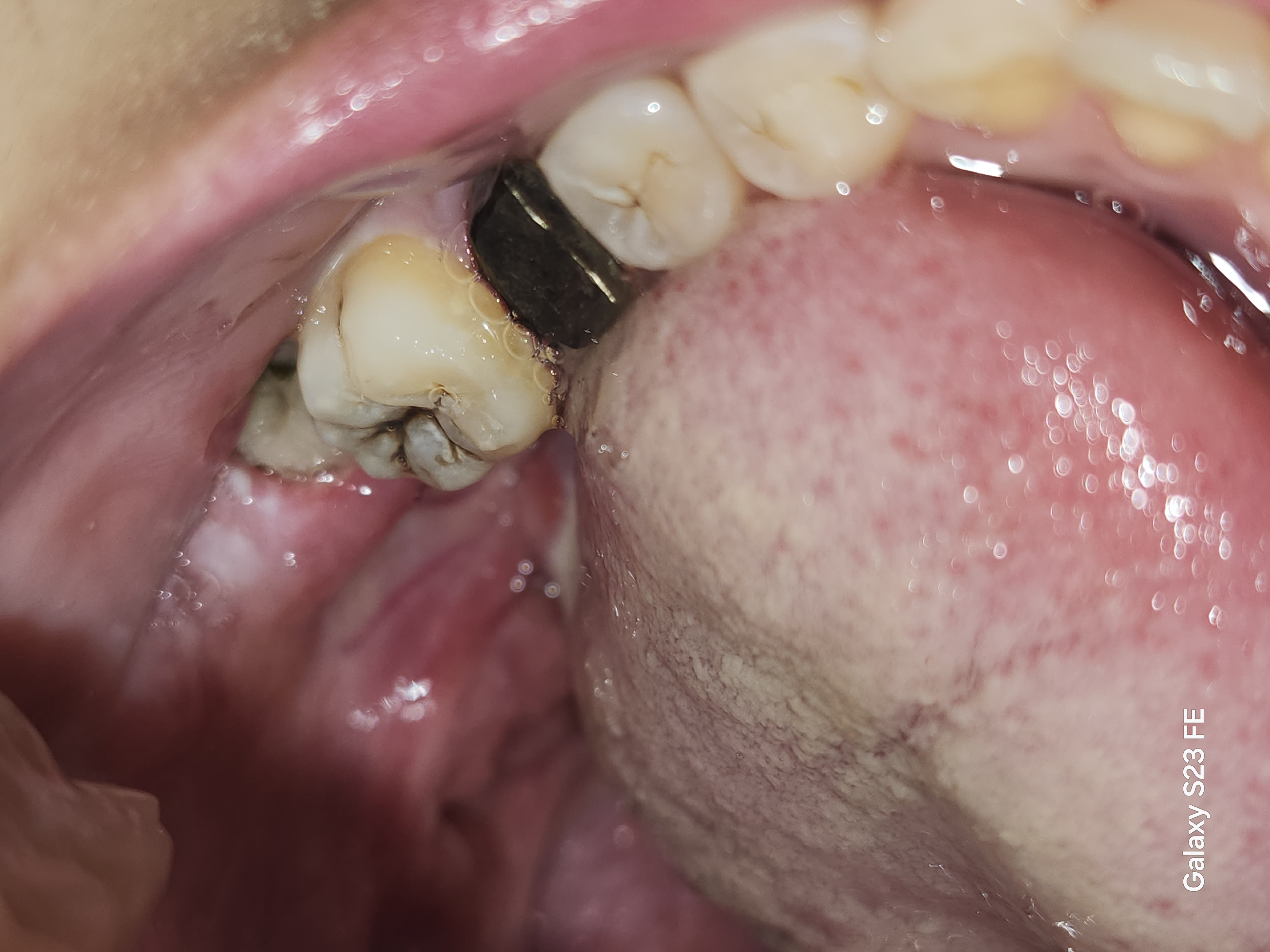
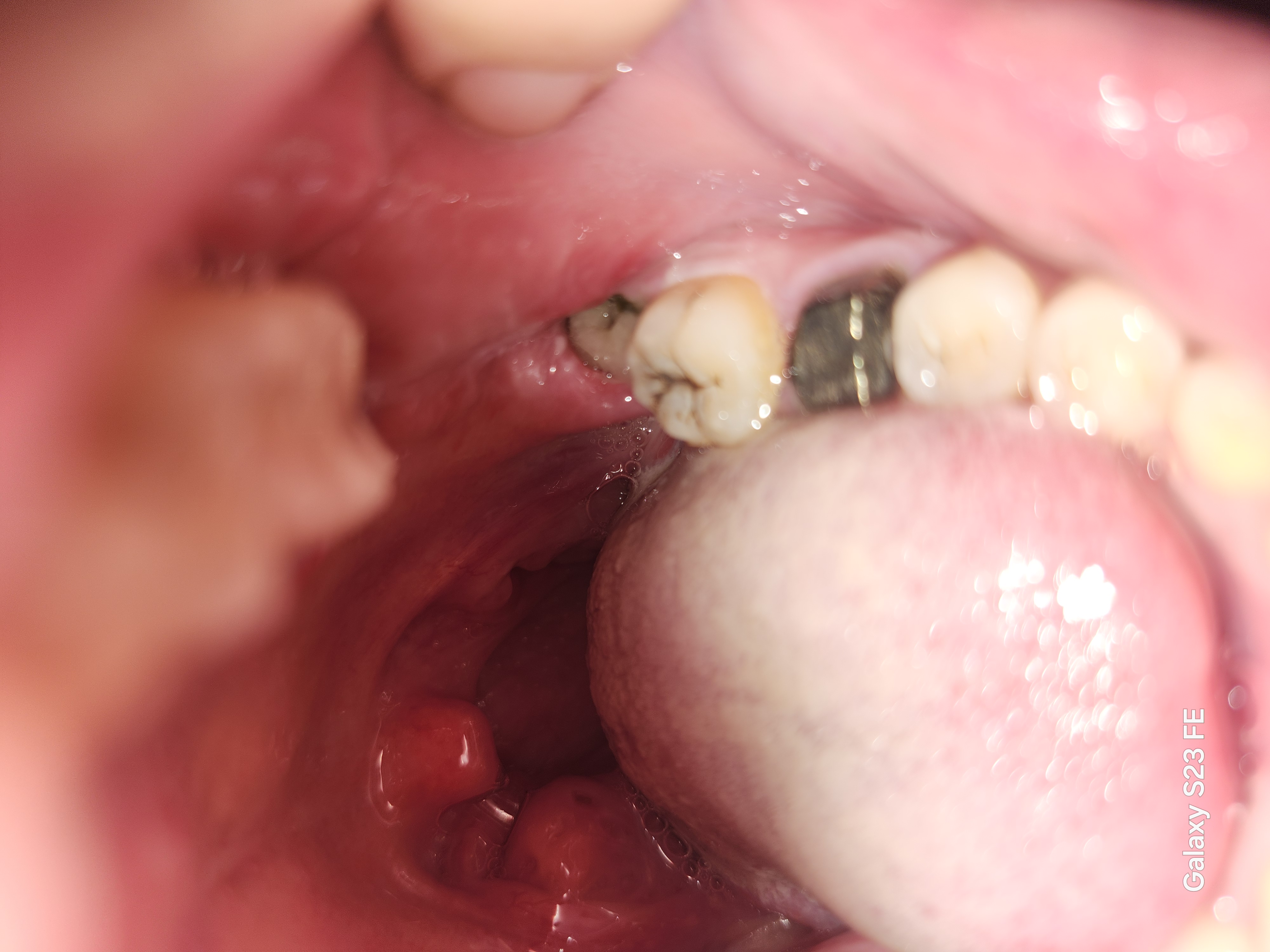
親知らず抜歯後、噛むと手前の歯に乗っている歯肉を挟み込んでしまいます。
回答数:2 -
親知らずの抜歯から1ヶ月後に腫れや膿が出て悪化してしまいました。
回答数:2 -
抜歯後に縫合した内頬に痣のようなものが出来て突っ張る感じと痛みがあります。
回答数:2 -
親知らず抜歯後、縫合部分に空いている隙間は埋まりますか?
回答数:2 -
親知らず抜歯後、食事をすると強い痛みが続きます。
回答数:2 -
親知らず抜歯後、どのくらい経てば虫歯治療ができますか?
回答数:2 -
親知らず抜歯後、黄色の鼻水が出ています。
回答数:2 -
親知らずを抜歯して4日経ちますが、口の開きにくさや痛みがあります。
回答数:2 -
水平埋没の親知らず抜歯後、ズキズキとした痛みとしこりがあり不安です。
回答数:2

