歯のお悩み相談詳細

ご相談

2025/10/28

7歳の子どもの矯正治療を勧められています。早めに矯正をした方がいいですか?

たかひろ様45歳男性
お忙しい中、恐れ入ります。
私の息子7歳の子供のことです。
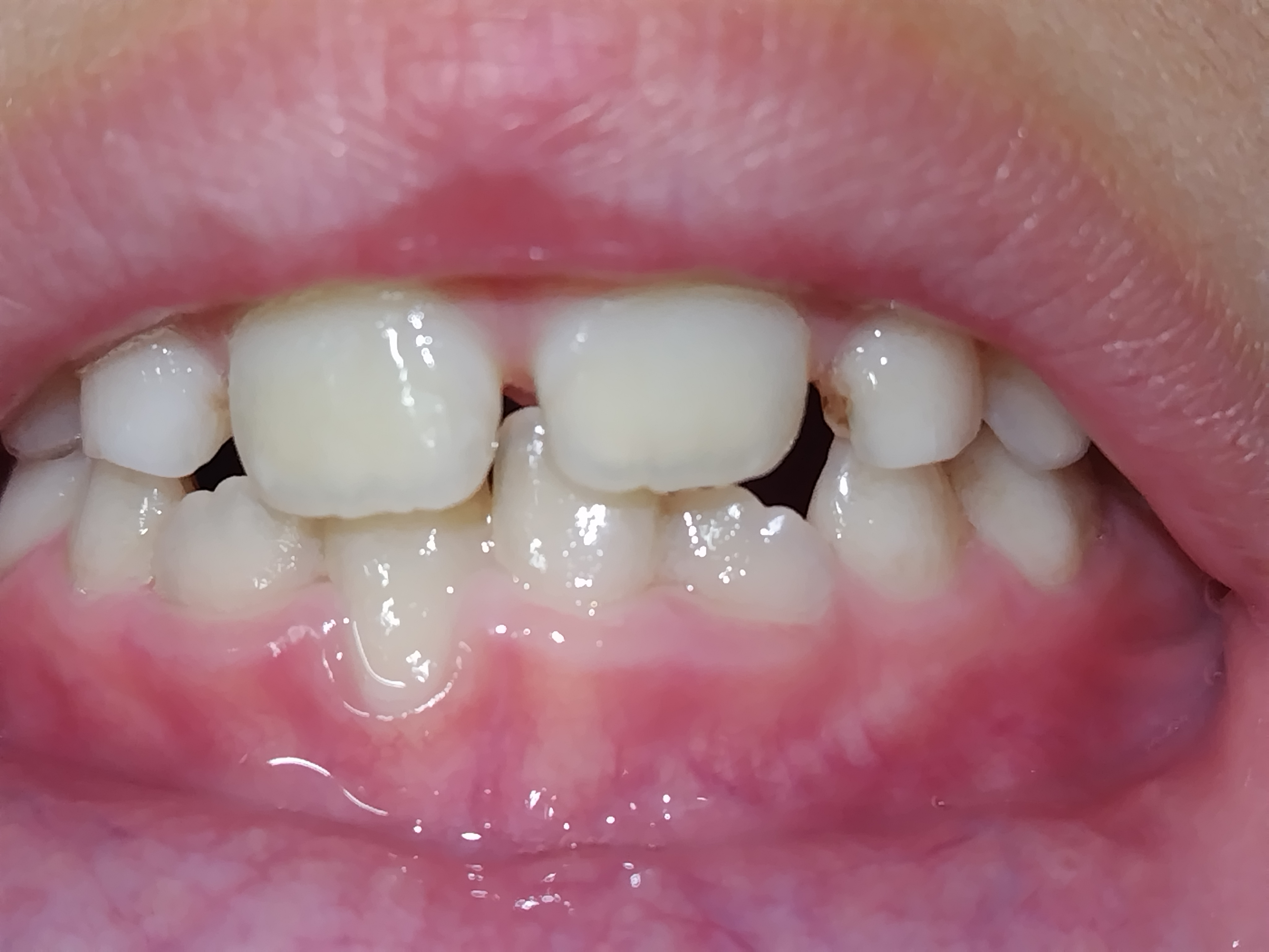
下の前歯の歯茎が下がっているので矯正を勧められております。
歯科医によると、上の歯が下の歯にあたって歯ぎしり歯茎が下がっているのではないか、また、あごが小さく、歯が低いのであたっていると言われました。
現在、前歯の上下2本は永久歯に変わっています。
早めに矯正した方がよいのか、これから顔が大きくなったり、他の歯も永久歯に変わるのでもう少し待った方がいいのか、別の治療があるのでしょうか。
費用も100万円以上かかりそうなので、必要であるのでしたら仕方がないと思っています。
どうぞ、よろしくお願いします。

河原 雅朗 先生からの回答

河原 雅朗
奈良県
かわはら歯科クリニック
河原 雅朗先生
歯列が小さいために、骨からやや歯が飛び出している感じですね。
確かに矯正が必要になってくるだろうと思います。

矯正にもいろいろな手法や考え方があり、歯科医院によっては小さいころからの介入を、というところもあれば、大人の歯の歯列をきれいにするのだから大人になってから、という考え方のところもあり、一概には言えません。
大人になってからの場合には、多くの場合抜歯矯正になると思いますし、今のうちにいろいろと矯正についてもお話を聞いて、どうしていった方がいいのか、どういう希望があるのかという事を整理しておかれることをお勧めします。

渡辺 英弥 先生からの回答

渡辺 英弥
福島県
渡辺歯科医院
渡辺 英弥先生
一度、矯正専門のところで診断をしてもらってから考えてもいいかと思います。

歯科医院を探す

全国約68,000件の登録歯科医院より、お住まいの地域や治療内容にあった歯科医院を検索できます。

矯正に関するお悩み相談

お口の悩みを歯科医師に相談する

ログイン 歯の悩みを相談 歯科医院を検索